口元に健康的な美しさを
デンタルエステティックは、口もとの健康的な美しさとアンチエイジングを追求します。欧米ではステータスや知性を表現する大切なポイントとして口もとの美しさを非常に大切にしています。健康的で美しい笑顔は口もとからです。
かわだ歯科では、ホワイトニング、ラミネートベニア法、ジルコニアクラウン、メタルボンドクラウン、ハイブリッドクラウン・インレー、歯肉のメラニン除去などの治療を行っております。また、これらの治療だけではなく、ゴールデンプロポーションを考慮しスマイルラインとのバランスを考えた歯肉のマネージメントからさせていただいております。口もとでお悩みの方はぜひご相談下さい。
ゴールデンプロポーション

口元の美しさを印象づける重要な要素は
1,歯の位置
2,歯肉レベル
3,配列
4,カントゥア(歯と歯肉の出具合)
5,歯の色調
です。
皆さんが美しいと感じるのは均整がとれているからです。
では、その均整とはどんなものなのでしょう。
上顎前歯の幅を観察した場合、1番、2番、3番の歯の比率は1.6:1.0:0.6に見えるのが一番美しいと言われています。
また、中切歯(一番前の2本の前歯)はシンメトリック(左右対称)にして高さと幅が1:0.8が好ましいといわれています。歯肉レベルは1番、2番、3番で、ハイ、ロウ、ハイになり、歯軸は1番から3番にかけて傾斜が強くなっていきます。
いわゆる「歯の形」は基本的に方形、卵形、三角形に分類できます。性差を例にすると女性のイメージは丸く、なだらかで繊細な歯の形を、男性的なものとしては角ばった力ずよい歯の形を連想します。したがって、歯の形に女性らしさを表現するには隅角とくに遠心隅角の丸みを強くして、男性らしく見せるためには隅角を角ばらせると良いのです。
さらに、顔貌の評価としては、ヘアライン(髪のはえぎわ)と眉間、眉間と鼻下点、鼻下点とオトガイが1:1:1になります。 下顔面では、鼻下点と下唇の最下点とオトガイ(下あご全面中央部)が1:1になります。これが、顔の垂直的なプロポーションのルールになります。
このルールの範囲内にあると美しく感じるのです。
かわだ歯科ではこういった数値をもとに顔貌と歯との整合性のある美しさをプロデュースします。
デュアルブリーチング


デュアルブリーチング法は効果の高い歯のホワイトニング法です。1日2〜6時間程度、それぞれの方のお口に合わせて作製したカスタムトレーを装着していただきます。
また歯科医院に1週間に1回程度来院いただき、オフィスホワイトニングという専用の光源を使用したホワイトニングを行います(通常4回程度)。
保険適応外です。
ホワイトニングの流れ
現在の歯の色の検査と記録
↓
カスタムトレー作成のための歯型取り
↓
カスタムトレー作成(技工操作が必要なため、1週間程度お待ちいただきます)
↓
PMTC(機械・器具によるプロフェッショナルによる歯面清掃)
↓
1回目のオフィスホワイトニングを行います
↓
カスタムトレーとホワイトニング薬剤と専用歯磨き粉を受け取り、家庭で使用します
↓
1週間に一度来院いただき、ホワイトニングの効果をチェックし、オフィスホワイトニングを行います。
ご家庭で使用するホワイトニングキットです

ホワイトニングの効果をチェックします
ワーキングブリーチ
歯の変色の原因が歯の神経を取ったことによる場合は、歯の中に特殊な漂白剤を直接入れることで、内側から白くすることができます。1週間に1回程通院していただき、薬剤の交換をしていきます。歯の変色度や神経を取ってからの年数により、回数はかわってきます。ホームブリーチングと併用する場合が多いです。
保険適応外です。
ラミネートベニア法
(株式会社シケン 三浦、槙さんのご厚意により掲載)
ホワイトニングでは白くできない場合もあります。そういった場合にはこのラミネートベニア法が有効です。ラミネートベニアはセラミックスの薄いシェルを歯に貼付けることによって色や形を改善し、なおかつ歯のダメージを可能な限り少なくできる優れた方法です。つけ爪をイメージしていただければ分かりやすいと思います。しかし、この方法は歯ぎしりや食いしばりのある方や、かみ合わせに問題のある方はできないこともあります。
保険適応外です。
ジルコニアクラウン・ファイバーコア
右側の光が透過している歯がジルコニアクラウンです (株式会社シケン 三浦、槙さんのご厚意により掲載)
上の写真をご覧下さい。ライトに照らされ透き通っている方がジルコニアクラウンです。ジルコニアは人工ダイヤモンドと呼ばれます。金属を使用していないため透明感のある歯本来の美しさを再現できます。ジルコニアクラウンを使用するためには土台の部分にも金属を使わないファイバーコアを使用します。
歯や口元の美しさを一番に求めるのであればジルコニアクラウンとなります。高い技術力が必要とされるジルコニアクラウンによる治療をかわだ歯科では行っております。
e.max オールセラミックス

IPS e.max は、ベニアからロングスパンブリッジまで、オールセラミックスのあらゆる臨床ケースに使用できる、先進のセラミックスシステムです。今までのオールセラミックスシステムにはなかった幅広い機能性を持たせた全く新しい製品です。オールセラミックスには無限の可能性があり、そこから多くの利点が得られる上、IPS e.max はプレステクノロジー及びCAD/CAMテクノロジーに必要な強度と審美性を兼ね備えています。
プレステクニックを用いた修復には高い審美性を有するガラスセラミックスIPS e.max プレス インゴット。さらに、酸化ジルコニウム フレームにプレスオンするIPS e.max ジルプレス インゴットがあります。また、CAD/CAMテクニックのためのIPS e.max キャド ガラスセラミックス ブロックと、高強度酸化ジルコニウムを用いたIPS e.max ジルキャドがラインナップされています。
そして、IPS e.max システムを完成するのはIPS e.max セラムです。このナノフルオロアパタイト レイヤリングセラミックスを使用すれば、IPS e.max シリーズを構成する全ての材料(ガラスセラミックス、酸化ジルコニウム)に築盛でき、高度なシステムを作り上げています。
これはIPS e.max システムが持つ優れた特徴であり、その優れた特性、比類なき多様性と柔軟性、高い審美性を持ち合わせた製品として高く評価されています。IPS e.max は、各修復物に個性と自然感を与えられるように規格化されたオールセラミックス修復のトータルシステムです。
かわだ歯科ではIPS e.maxシステムを使用した美しい歯を提供いたします。

治療前の色調測定の結果はこのように表されます
また、かわだ歯科では(株)シケンの三浦先生によるOLYMPUS社のCrystaleyeを用いたシェードテイキング(歯の色調測定)を行っています。人間の目では判別不可能な領域まで色調を追求し、完全な美しさを表現します。


画像で色調を確認する場合も条件を一致させるために画像補整用カラーチャートを使用します
ラボ(技工所)と画像をやりとりする場合も画像補整用カラーチャートや、Photoshopという画像編集ソフトを用い実際の色調を確実に再現できるよう細心の注意を払っています。ここまでしなければ、本当の色調を再現することはできないのです。
メタルボンドクラウン

メタルボンドは金属のフレームとセラミックの外装からできています
メタルボンドクラウンは内面に金属を使用しますが、表面の白い部分にはセラミックを使用します。経年変化がなく美しい状態を保ち続けますが、やや透明感に欠けます。
健康保険適応外です。
ハイブリッドクラウン・インレー
(株式会社シケン 三浦、槙さんのご厚意により掲載)
レジンと呼ばれるプラスティックとセラミックスの混合(ハイブリッド)素材を使用しています。経年変化で色の変化をおこしますが、保険適応のハードレジンと比較すると審美性で優れています。
保険適応外です。
歯肉ピーリング(メラニン除去・メタルタトゥー除去)


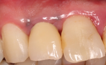
歯肉に黒い斑点のようなメタルタトゥーがみられます
歯の被せ物の付近の歯肉にアザのような黒い着色ができることがあります。内部に銀合金製の土台が入っていたり、削ったときに金属片が歯肉に入り込むことによって色が付いてきます。審美性を求める場合、ピンク色の美しい歯肉に仕上げることも必要です。原因となる金属製の土台を取り除き、非金属製のファイバーコアに置き換え、歯肉に高周波を当てることで黒色を取り除きます。表面麻酔のみで行うことが可能です。
保険適応外です。

歯科用高周波治療器(Cosmo iCure)
全波整流型波形とその変形である半波方形波形の高周波を出力させる装置であり、この波形を利用し歯の根の治療や歯周病治療における滅菌、消毒を行います。このことにより今までにない新しい治療法を提供します。また知覚過敏、口内炎・アフタ、知覚麻痺、口腔内乾燥症、智歯周囲炎、顎関節症、メラニン除去・メタルタトゥー除去にも使用します。
ご利用可能なカードの種類
![]()













